Home    中文  
 
  • Search
  • lucene Search
  • Citation
  • Fig/Tab
  • Adv Search
Just Accepted  |  Current Issue  |  Archive  |  Featured Articles  |  Most Read  |  Most Download  |  Most Cited

Chinese Journal of Cell and Stem Cell(Electronic Edition) ›› 2025, Vol. 15 ›› Issue (06): 329-338. doi: 10.3877/cma.j.issn.2095-1221.2025.06.002

• Original Research • Previous Articles     Next Articles

Study on the mouse model of acute graft-versus-host disease after MHC-mismatched and H-2 haploidentical hematopoietic stem cell transplantation

Xuezhen Zheng1,2, Guanzhi Lei3, Xiaoyue Zhang1,2, Yifan Jiang1,2, Zhaopeng Wang2, Dandan Wang1,2, Yueying Zhang1,2, Fang Zhou3,(), Zhicheng Wu4,()   

  1. 1Department of Pathology, the First Affiliated Hospital of Shandong First Medical University, Jinan 250117, China
    2Department of Pathophysiology, School of Clinical and Basic Medicine, Shandong First Medical University, Jinan 250117, China
    3Department of Hematology, the 960th Hospital of People's Liberation Army, Jinan 250031, China
    4Institute of Occupational and Radiological Health Supervision Laboratory, Jinan Center for Disease Control and Prevention, Jinan 250117, China
  • Received:2024-12-17 Online:2025-12-01 Published:2026-01-15
  • Contact: Fang Zhou, Zhicheng Wu

Abstract:

Objective

Establish the mouse models of acute graft-versus-host disease (aGVHD) after H-2 haploidentical (haplo-HSCT) and MHC incompatible allogeneic hematopoietic stem cell transplantation (allo-HSCT) and observe the pathological changes of different organs after HSCT, laying a foundation for mechanism research.

Methods

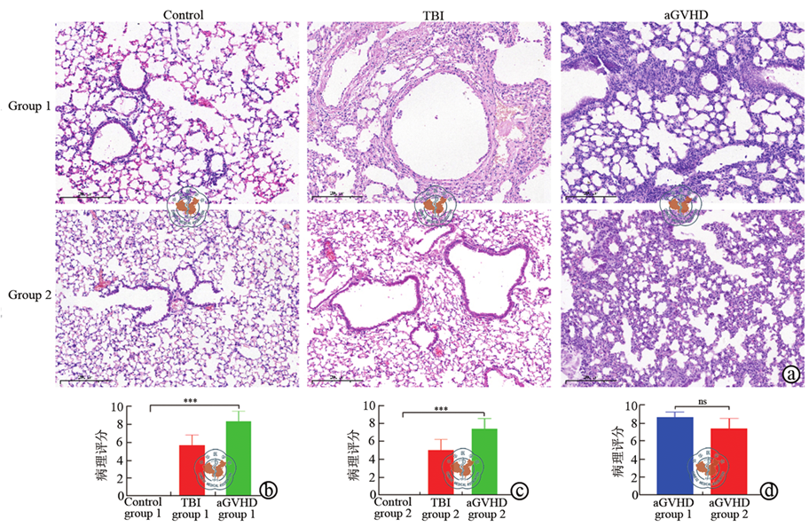
By administering the recipient mice with a dose of 8 Gy dose of 60Coγ rays as the pretreatment protocol, using male C57BL/6 (H-2Kb) as the donor mice and female BALB /C (H-2Kd) as the recipient mice, 200 μL of suspension of bone marrow cells (5 × 106/ mouse) and spleen monocytes (1 × 107/ mouse) was reinfused via the tail vein within 2 hours to construct an animal model of aGVHD after allo-HSCT with MHC mismatch. Under the same pretreatment conditions, male C57BL/6 (H-2Kb) was used as the donor mouse and female[C57BL/6 × BALB/C]F1 (H-2K b/d) was used as the recipient mouse, and 200 μL of bone marrow cells (5 × 106/ mouse) and spleen monocytes (1 × 107/ mouse) were infused back into the tail vein within 2 hours to construct an animal model of aGVHD after haplo-HSCT. The two recipients were divided into TBI group, TBI plus allo-HSCT group (aGVHD model group). The two groups were given healthy mice of the same age as controls. The survival rate, clinical score and body mass changes of mice were observed, the pathological changes of organs (lungs, liver, spleen, kidneys, skin and intestines) were observed by HE staining. Data analysis was conducted using the independent samples t-test for inter-group comparisons. One-way analysis of variance was used for comparison between multiple groups, and LSD-t test was used for pairwise comparison between groups.

Results

Compared with the healthy control group, the survival rate and body weight in both two aGVHD groups were decreased significantly, while the clinical score were increased (6.18 ± 0.23 vs 0, 5.14 ± 0.38 vs 0), and the pathological damage of organs was severe (P < 0.01). The mice in two TBI groups showed a decreased in appetite and activity, but did not have typical aGVHD manifestations. Compared with the TBI group, the clinical score of the aGVHD group was significantly higher (6.18 ± 0.23 vs 1.82 ± 0.11, 5.14 ± 0.38 vs 1.45 ± 0.23). Compared with the mice in the MHC-incompatible aGVHD group, the pathological observation of mice in the aGVHD group after haplo-HSCT showed that the organ damage was mild, the difference in kidney and skin were statistically significant (3.67 ± 0.32 vs 2.60 ± 0.25, 7.50 ± 0.38 vs 6.00 ± 0.32), while the difference in lung, liver, spleen and intestines was not statistically significant, and the survival time of mice in the aGVHD group was prolonged after haplo-HSCT.

Conclusion

Using TBI as the pretreatment regimen, C57BL/6 (H-2b) as the donor mouse, BALB/C and CB6F1 (H-2b/d) as the recipient mouse, the aGVHD model could be stably constructed, and the immune rejection and organ damage were more severe in MHC incompatible HSCT compared with haplo-HSCT.

Key words: Hematopoietic stem cell transplantation, Hematologic system, Immune system, Graft-versus-host disease, Total body irradiations, Pathology

京ICP 备07035254号-3
Copyright © Chinese Journal of Cell and Stem Cell(Electronic Edition), All Rights Reserved.
Tel: 0086-591-87982783 E-mail: ccsct@vip.163.com
Powered by Beijing Magtech Co. Ltd