Home    中文  
 
  • Search
  • lucene Search
  • Citation
  • Fig/Tab
  • Adv Search
Just Accepted  |  Current Issue  |  Archive  |  Featured Articles  |  Most Read  |  Most Download  |  Most Cited

Chinese Journal of Cell and Stem Cell(Electronic Edition) ›› 2025, Vol. 15 ›› Issue (06): 321-328. doi: 10.3877/cma.j.issn.2095-1221.2025.06.001

• Original Research •     Next Articles

Study on the repair effect of rat amniotic mesenchymal stem cells on STZ-induced pancreatic islet injury in rats

linlin Cui1,2, laien Xue1,2, yunfeng Fu1,2, junzhu Wang1,2, heping Zheng1,2, jun Lu1,2, yongjun Xu1,2,()   

  1. 1Fujian Key Laboratory of Transplantation Biology, Fuzong Clinical Medical College of Fujian Medical University, Fuzhou 350025, China
    2Department of Basic Medical Laboratory, 900th Hospital of the Joint Logistics Support Force, PLA, Fuzhou 350025, China
  • Received:2025-07-22 Online:2025-12-01 Published:2026-01-15
  • Contact: yongjun Xu

Abstract:

Objective

To investigate the effects of rat amniotic mesenchymal stem cells (R-AMSCs) on blood glucose and pancreatic tissue in type 1 diabetes (T1D) model rats.

Methods

Amniotic mesenchymal stem cells (AMSCs) were isolated from the placentas of pregnant rats at 17-19 days of gestation. Flow cytometry was used to detect the expressions of stem cell surface markers (CD29, CD34, CD45, CD73), immunofluorescence was performed to identify vimentin expression, and trilineage differentiation (osteogenic, adipogenic, chondrogenic) was induced to evaluate the multipotency. Twenty-four adult male SD rats were randomly divided into three groups (n = 8 per group), which named control, T1D (model), and T1D + R-AMSCs (intervention) respectively. The T1D model was established by intraperitoneal injection of streptozotocin (STZ, 65 mg/kg). One week after successful modeling, the rats in intervention group were received tail vein injections of 5 × 106 R-AMSCs (once per week for 3 weeks), while the control and model groups received equal volumes of PBS. 2 weeks after the intervention, blood and pancreatic tissue were collected after anesthesia with isoflurane. The expression levels of blood glucose, serum insulin and C-peptide, the pathological changes of pancreatic tissue, as well as the expression levels of mRNA and protein of Neurogenin 3 (Ngn3) and pancreatic and duodenal homeobox 1 (PDX-1) were measured to evaluate the therapeutic effects of R-AMSCs. The differences among multiple groups were compared with ANOVA test, and the LSD-t test was used for pairwise comparisons between groups. Repeated measures design quantitative data were analyzed using repeated measures design analysis of variance, and pairwise comparisons were conducted using Bonferroni post hoc tests.

Results

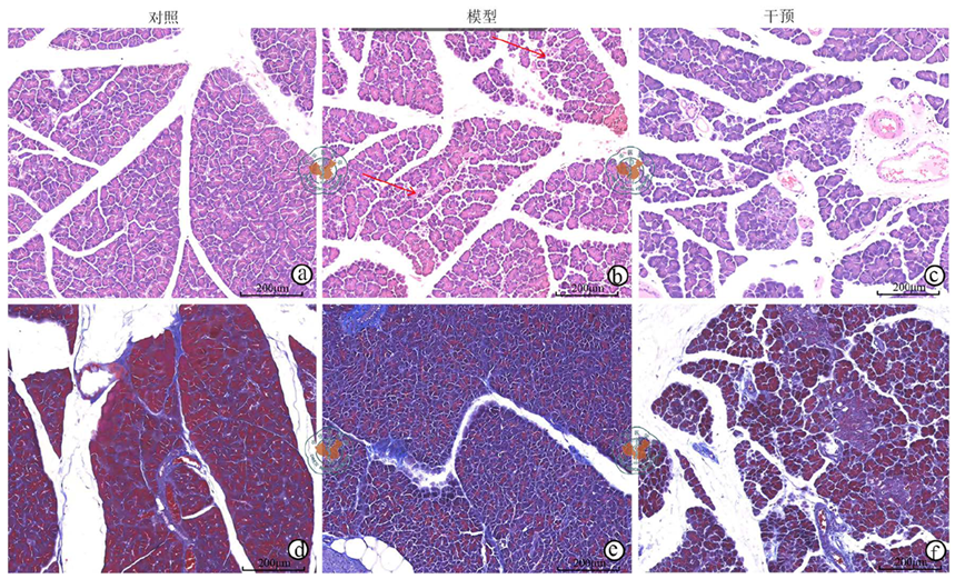
R-AMSCs were successfully isolated using enzymatic digestion. Flow cytometry, immunofluorescence (vimentin-positive), and trilineage differentiation confirmed their stem cell characteristics. Blood glucose levels were significantly lower in the intervention group compared to the model group (P < 0.05). Compared with the control group, the level of serum insulin [ (5.48 ± 1.51) vs (11.18 ± 2.42) mU/L] and C-peptide levels in model group were decreased significantly [ (149.88 ± 14.19) vs (199.35 ± 22.10) pg/mL] (P < 0.05). In contrast, the levels of serum insulin [ (7.67 ± 1.33) vs (5.48 ± 1.51) mU/L] and C-peptide levels [ (176.04 ± 17.88) vs (149.88 ± 14.19) pg/mL] in the intervention group were significant higher compared to the model group (P < 0.05). HE staining of pancreatic tissue showed that the pancreatic morphologtical structure and insulin expression in the intervention group were improved compared to the model group. Compared with the control group, the expression level of Ngn3 mRNA (0.57 ± 0.15 vs 1.00 ± 0.18), protein (0.80 ± 0.04 vs 1.11 ± 0.08) as well as PDX mRNA (0.47 ± 0.08 vs 1.00 ± 0.11), protein (0.84 ± 0.13 vs 1.19 ± 0.06), mRNA and protein were significant lower than those in model group (all P < 0.05). Compared with the model group, the expression levels of Ngn3 mRNA (0.87 ± 0.06 vs 0.57 ± 0.15) and protein (1.03 ± 0.11 vs 0.80 ± 0.04), as well as PDX-1 mRNA (0.71 ± 0.14 vs 0.47 ± 0.08) and protein (1.12 ± 0.11 vs 0.84 ± 0.13) in the intervention group were increased (all P < 0.05) .

Conclusion

Three weeks of R-AMSCs treatment could reduce the blood glucose levels effectively, improve the pathological morphology of the pancreas, and up-regulate the expression of key pancreatic transcription factors (Ngn3 and PDX-1) as well as serum insulin and C-peptide levels in T1D model rats, indicating a potential therapeutic effect of R-AMSCs on T1D.

Key words: Rat amniotic mesenchymal stem cells, Type 1 diabetes, Blood glucose control

京ICP 备07035254号-3
Copyright © Chinese Journal of Cell and Stem Cell(Electronic Edition), All Rights Reserved.
Tel: 0086-591-87982783 E-mail: ccsct@vip.163.com
Powered by Beijing Magtech Co. Ltd